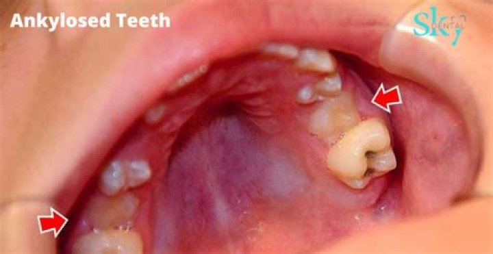
What causes ankylosed teeth?
Several factors cause Ankylosis - Wikipedia
How rare is an ankylosed tooth?
Luckily, this condition is rare. Fewer than 200,000 people in the U.S. have been diagnosed with an ankylosed tooth.
Do ankylosed teeth need to be removed?
When treatment planning an ankylosed tooth in an adult, it must be stated that the ankylosed tooth does not need to be extracted just because it is ankylosed. If you think about it, an ankylosed tooth is not that dissimilar from an osseointegrated implant.
How do you get rid of an ankylosed tooth?
If a permanent tooth has ankylosed, it is possible to dislocate it to see if the fused bone will then heal properly. If not, the tooth will appear to be completely resorbed into the alveolar bone. Because this is suboptimal, the tooth should then be extracted and restored with a dental bridge or implant.
Is an ankylosed tooth bad?
An ankylosed tooth can cause the teeth become misaligned. This condition is called malocclusion. Since the ankylosed tooth does not move, it can affect the growth of the other teeth. This will cause a misalignment of the upper teeth and the lower teeth.
How To Extract Ankylosed Teeth | OnlineExodontia.com
23 related questions foundWhat does an Ankylosed tooth mean?
Definition. An ankylosed tooth means the root of a tooth is permanently connected to the jaw. It cannot move because the tooth no longer has the protective periodontal ligament around it. The root of the tooth will then become permanently attached to the jaw bone.
When should ankylosed primary teeth be extracted?
Conservative monitoring of ankylosed primary molars is recommended. The clinician should consider extraction if the permanent successor has an altered path of eruption, if the ankylosed primary molar is severely infraoccluded with the adjacent teeth tipping to prevent the successor from erupting, or both.
What is cause Hypercementosis?
Hypercementosis is excessive deposition of cementum on the tooth roots. In most cases, its cause is unknown. Occasionally, it appears on a supraerupted tooth after the loss of an opposing tooth. Another cause of hypercementosis is inflammation, usually resulting from rarefying or sclerosing osteitis.
What is a temporary teeth?
Baby teeth are also called primary, or deciduous teeth, because they're temporary and they fall out. A full set of baby teeth is 20 teeth: 10 on top and 10 on bottom. We get baby teeth because as a child, our mouths aren't big enough for a full set of adult teeth, but kids still need teeth to chew.
Is supernumerary teeth genetic?
Presence of multiple supernumerary teeth is thought to have genetic component. We report a rare case where multiple supernumerary teeth were seen without presence of any other syndrome in 3 generations; father, son, and two grandsons.
What causes retained baby teeth?
By far the most common cause of over retained baby teeth is the fact that there is not an adult tooth waiting in the wings. The adult tooth's job is to help the baby tooth fall out by dissolving a baby tooth's roots as it begins to form. Without this, baby teeth may last into adulthood.
Are wisdom teeth Ankylosed?
This condition is known as ankylosis. The most common teeth to become impacted are “wisdom teeth”, also known as the third molars. Because they are the last to erupt, there is usually little or no room for them to come in correctly.
Can Ankylosed teeth move?
The ankylosed tooth was surgically mobilized with dental burs and chisels and repositioning attempted. However, the tooth could not be moved the entire distance necessary to reach the occlusal plane due to the limitations of the stretch of the attached soft tissue.
Can baby teeth get stuck?
Some Baby Teeth Get Stuck
In some instances, baby teeth can fuse to the surrounding bone, which causes them to sink into the nearby gum tissue, the National Institutes of Health explains, causing what dentists call dental ankylosis. This can happen to adults as well, but is 10 times more common with baby teeth.
Do milk teeth have roots?
Yes, baby teeth have roots, just like adult teeth. They're under the gums with the teeth waiting to burst onto the scene. Once the teeth erupt, the roots hold on to the jawbone. You should expect to start seeing their pearly whites around 6 months of age.
Can you eat with snap on teeth?
You can drink and eat with your Snap-On Smile. It's easy to care for and can be a fantastic temporary cosmetic solution for upper and lower teeth. It fits right over your own teeth to give you a beautiful, natural-looking smile. Snap-on Smiles can hide stains, chips, gaps or missing teeth.
Why do we have milk teeth?
Essentially, baby teeth are placeholders for permanent teeth and serve as a guide for where they should grow in. When a child loses a baby tooth early due to decay, space for the permanent tooth is lost too. This can lead to dental crowding when the adult teeth come in.
What does hypercementosis look like?
Teeth affected by hypercementosis may also appear to be chipped, because cementum forms misshapen and jagged deposits can form on the tooth's apex. The deposits may appear as small white ridges along the top of the teeth, and they damage your smile.
Does hypercementosis cause pain?
Signs and symptoms
It is experienced as an uncomfortable sensation in the tooth, followed by an aching pain. It may be noted on radiographs as a radiopaque (or lighter) mass at each root apex.
What is the treatment for hypercementosis?
Periodontitis with hypercementosis is a rare case and in this case report, hypercementosis was occurred due to apical periodontitis from the necrotic tooth. The treatment, in this case, includes endodontics, regenerative periodontal procedures, and orthodontics which can also function as splints.
What are ankylosed primary teeth?
Ankylosis is a condition frequently associated with primary molars, wherein the ankylosed primary teeth remain in a fixed position, while the adjacent teeth continue to erupt, moving occlusally.
When do you remove distal shoe space maintainer?
Distal shoe space maintainer is advised in case of early loss of second primary molar before eruption of first permanent molar. This appliance should be changed with band and loop space maintainer after eruption of permanent first molar to avoid any adverse effect on the second premolar, as seen in this case.
What is ectopic eruption of teeth?
Ectopic eruption is a disturbance in which the tooth does not follow its usual course. The purpose of this manuscript is to provide a brief review regarding the incidence, etiology, classification and different management techniques used for correcting ectopically erupting permanent first molar.
Can teeth go back into gum?
As strange as this question may sound, patients sometimes complain that it feels as if their wisdom teeth begin coming in, but then the molars sink back into the gums after a few days or weeks. Is that even possible? In most cases, the answer can be found in the condition we generally refer to as impacted wisdom teeth.
Are tooth roots connected to bone?
The root is attached to the tooth-bearing bone—the alveolar processes—of the jaws by a fibrous ligament called the periodontal ligament or membrane. The “neck” of the root is embraced by the fleshy gum tissue (a specialized area of connective tissue covered with mucous membrane that lines the mouth cavity).